
Kanalda Kırılan Eğeye Ne Olacak?
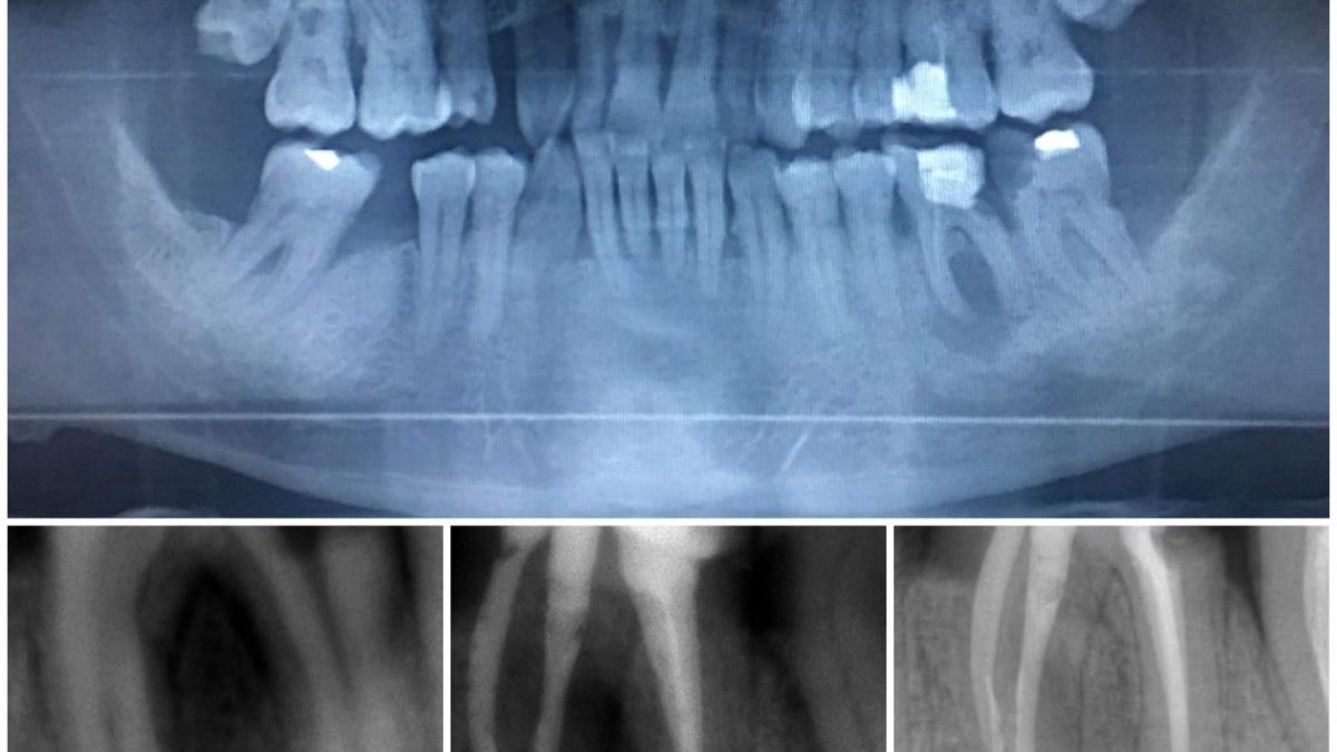
Kök kanal tedavisi esnasında diş hekimlerinin en büyük endişesi kullanılan enstrümanın kanal içinde kırılmasıdır. Peki bu durumun çözümü nedir?
Dişin içinde duran steril bir enstrüman problem yaratmaz ancak varlığından dolayı yeterlidezenfeksiyon yapılamaz ise kanal içinde arta kalan bakterilerden dolayı iltihabı reaksiyon gözlenebilir.
Tablonun biraz daha kritik olduğu durumlar da gözlenebilir; kırılan eğenin kanal dışına itilmesi…
Bu gibi durumlarda prognoz çok iyi olmamakla birlikte hastanın onayı ile dişin kontrol altında tutulması denenebilir. Mümkün mertebe diş çekimi veya cerrahi prosedürler en son seçenek olmalıdır.
Dr. Dt. Emir YILMAZ
Kanal Tedavisi Uzmanı Bursa
Kaynak